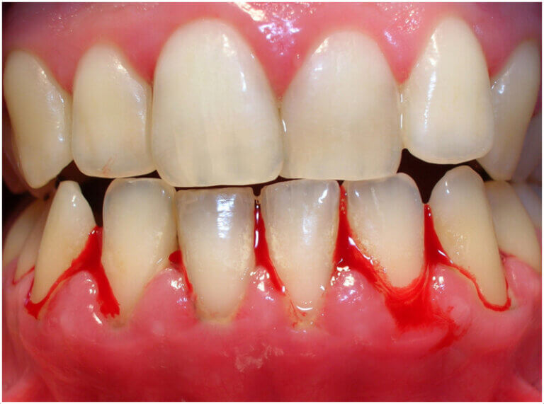
You spit into the sink after brushing and notice a streak of pink. Or maybe you see blood on the floss. It’s easy to brush this off (no pun intended) as “normal” or the result of brushing too hard. But here’s the reality: healthy gums should not bleed. If your gums bleed regularly when you brush or floss, your body is sending you a message — and it’s one you shouldn’t ignore.
The Most Common Cause: Gingivitis

In the vast majority of cases, bleeding gums are a sign of gingivitis — the earliest stage of gum disease. Gingivitis occurs when plaque (a sticky film of bacteria) builds up along the gumline, causing inflammation. Your gums become red, swollen, and prone to bleeding, especially when disturbed by brushing or flossing.
The encouraging news is that gingivitis is completely reversible with proper treatment and improved oral hygiene. But if it’s ignored, it can progress to periodontitis — a much more serious condition that damages the bone and tissue supporting your teeth, and can eventually lead to tooth loss.
Other Reasons Your Gums Might Bleed
Brushing Too Hard or Using a Hard-Bristle Brush
Aggressive brushing doesn’t clean teeth better — it damages the delicate gum tissue. If your toothbrush bristles are splayed out after a few weeks, you’re likely applying too much pressure. Switch to a soft-bristle brush and use gentle circular motions rather than a back-and-forth scrubbing motion.
New Flossing Routine
If you’ve just started flossing (or started again after a long break), some bleeding in the first week or two is normal as your gums adjust. However, if bleeding continues beyond two weeks, it’s likely a sign of underlying gum inflammation that needs professional attention.
Hormonal Changes
Pregnancy, puberty, menstruation, and menopause all cause hormonal shifts that increase blood flow to the gums and make them more sensitive and prone to bleeding. “Pregnancy gingivitis” is particularly common and should be monitored by a dentist throughout the pregnancy.
Medications
Blood-thinning medications (such as aspirin, warfarin, or newer anticoagulants) can make gum bleeding more noticeable. Some blood pressure medications and anti-seizure drugs can also cause gum swelling and increased bleeding. If you take any of these medications, mention it to your dentist so they can factor it into your treatment plan.
Vitamin Deficiencies
Deficiencies in vitamin C and vitamin K can contribute to gum bleeding. Vitamin C is essential for gum tissue repair, while vitamin K plays a role in blood clotting. While severe deficiencies are uncommon, a balanced diet rich in fruits, vegetables, and leafy greens supports gum health.
When Bleeding Gums Signal Something Serious

While gingivitis is the most common cause of bleeding gums, persistent or worsening symptoms can indicate more serious conditions:
Periodontitis: If gingivitis is left untreated, it can advance to periodontitis, where pockets form between the teeth and gums, the bone begins to deteriorate, and teeth may become loose. This is the leading cause of tooth loss in adults.
Systemic health links: Research increasingly shows connections between gum disease and conditions like heart disease, diabetes, and respiratory illness. Treating gum disease isn’t just about your mouth — it’s about your overall health.
What You Can Do Right Now
Don’t stop brushing or flossing because of the bleeding — that will only make the problem worse. Instead, switch to a soft-bristle toothbrush and brush gently twice a day. Floss daily, using a gentle up-and-down motion rather than snapping the floss into your gums. Rinse with warm saltwater to help soothe inflammation. Schedule a dental cleaning and checkup.
How We Treat Bleeding Gums at Lebanon Dental Studio
At Lebanon Dental Studio, we take bleeding gums seriously because we understand what they can lead to if left unaddressed. Dr. Rita Kanbar begins with a thorough periodontal evaluation to determine whether you’re dealing with simple gingivitis or early-stage periodontitis.
Treatment typically starts with a professional dental cleaning to remove plaque and tartar that home brushing can’t reach. For more advanced cases, scaling and root planing (a deeper cleaning beneath the gumline) may be recommended. Personalized oral hygiene instructions ensure you know exactly how to maintain your gum health between visits.
| Experiencing any of these symptoms? Book a consultation at Lebanon Dental Studio. Dr. Rita Kanbar and her team are here to help. Call or WhatsApp: +961 71 677261 |
